Let’s begin with a brief look at X-rays themselves, so we know what we’re referring to, before getting into the detail of X-ray doors and where and why they are used.
What exactly are X rays?
They are a form of electromagnetic radiation, with wavelengths between 0.01 and 10 nanometres. Thus their wavelengths are longer than those of gamma rays but shorter than those of UV rays.
Here’s a helpful image, courtesy of NASA.

Why are they called X rays?
They were discovered by a German scientist, Wilhelm Röntgen, in 1895, while he was investigating the properties of cathode rays. At that time he didn’t know what to call them, or how they arose, or exactly what they were, so he labelled them “X” to signify an unknown quantity. The nomenclature clearly stuck!
In some countries however – notably his native Germany – they are actually referred to as Röntgen rays, and the associated radiograms as Röntgenograms!
Properties of X rays
X rays can penetrate relatively thick objects without being fully absorbed or scattered, and will be absorbed to different degrees by different materials. As a result they are ideal for imaging the interior of visually opaque objects – whether that’s a human body or a suitcase passing through airport security.
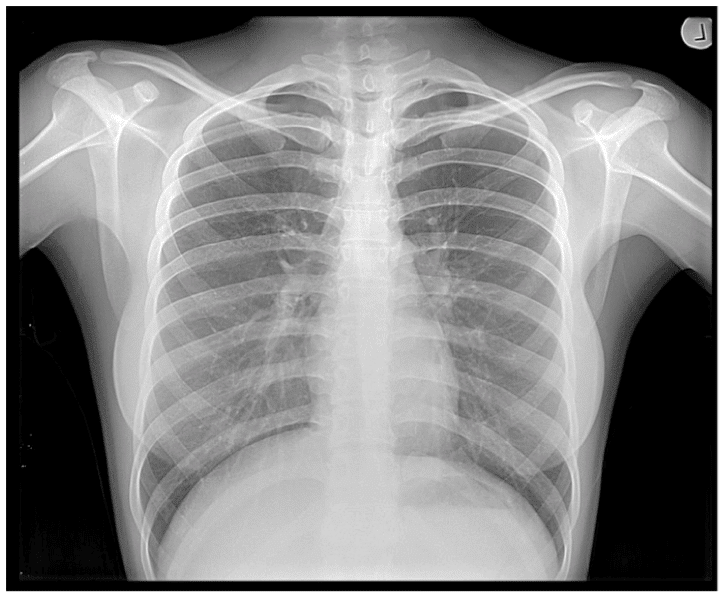
Dense parts of your body that X rays find it more difficult to pass through, such as bone, show up as clear white areas on the image. Softer parts that X-rays can pass through more easily, such as your heart and lungs, show up as darker areas. Thus we get images like this, which we’ve all seen:

Health risks
As with most forms of radiation, there is a health risk associated with exposure to it. However, the part of your body being examined will only be exposed to a low level of radiation for a fraction of a second.
For example, an X-ray of your chest, limbs or teeth is equivalent to a few days’ worth of naturally occurring background radiation, and has less than a 1 in 1,000,000 chance of causing cancer. If you would like further information, you might find this link from the Health and Safety executive useful.
And this is where X ray doors come in (no pun intended!).
X ray doors
The properties of X rays, and their potential health risks (albeit very small, and generally understood to be vastly outweighed by the benefits) mean that special X-ray doors – sometimes referred to as lead-lined doors – will be required as entry/exit points to/from rooms where X-rays are being regularly used.
Environments where they will be required include:
- hospitals
- dental surgeries
- doctor’s surgeries and medical centres
- veterinary practices
- laboratories
- universities
and in each case the doors should be tailored for their specific requirements.
Where can I get X ray doors from?
Here at Enfield Doors we specialise in their manufacture and supply, and have an outstanding track record. We can give you pragmatic and sound advice based on many years experience, and guide you through all the options available.
If you would like more information please click here to learn more about our product range.
We have been manufacturing specialist doors for many years for numerous satisfied customers. If you would like further information on our X Ray Doors, call us on 020 3199 5849 or go directly to our contact page when we will respond as quickly as possible.
As always we’ll be delighted to help and advise you.
