It makes sense when explaining what X ray doors are, and why they’re important, to have an understanding of what an X ray actually is, so we’ll begin there.
What is an X ray?
It is a form of electromagnetic radiation – the most obvious and well-known example of which is visible light – with a wavelength between 0.01 and 10 nanometres. That’s small – a nanometre is 0.000000001 metres in length.
Here’s a helpful image, courtesy of NASA:
We think that’s enough on what they are for the purposes of this article!
Why are they called X rays?
This is quite interesting! They were discovered by a German scientist, Wilhelm Röntgen, in 1895, while he was investigating the properties of cathode rays. At that time he didn’t know what to call them, or how they arose, or exactly what they were, so he labelled them “X” to signify an unknown quantity. The nomenclature clearly stuck!
In some countries however – notably his native Germany – they are actually referred to as Röntgen rays, and the associated radiograms as Röntgenograms!
So how do X-rays “work” and why do I need to know about them?
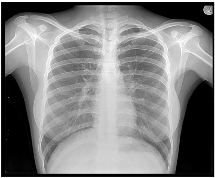
They “work” because it turns out that as they pass through the body, the energy from the X-rays is absorbed at different rates by different parts of the body. Dense parts of your body that X-rays find it more difficult to pass through, such as bone, show up as clear white areas on the image. Softer parts that X-rays can pass through more easily, such as your heart and lungs, show up as darker areas. Thus we get images like this, which we’ve all seen:
You need to know about them a) because clearly they can reveal things like broken bones (for example) which aren’t visible to the naked eye, and b) as with most forms of radiation, there is a health risk associated with exposure to them. That said, the part of your body being examined will only be exposed to a low level of radiation for a fraction of a second. For example, an X-ray of your chest, limbs or teeth is equivalent to a few days’ worth of naturally occurring background radiation, and has less than a 1 in 1,000,000 chance of causing cancer. If you would like further information, please check out this link on safe dosage levels.
Onto X ray doors
So we can see why X rays are in such wide use in the medical world – in hospitals, dentists and so on – and of course despite the slight health risk people still need to go in and out of the rooms where they are being used. This is where X ray doors come in – designed to shield people from the radiation. They are usually lined with lead to achieve this level of protection. You can find more information here.
How to get expert advice
It’s important that you talk to experts who specialise in the manufacture and installation of X ray doors – and who can give you excellent advice and guidance based on years of successful installations and a large and satisfied customer base.
If you would like further information on our company please visit our home page or go directly to our contact page when we will respond as quickly as possible.
As always we’ll be delighted to help and advise you.


